equacenter

  • 科学营养
    能量管理
    营养正见
  • 运动科学
    运动营养支持
    功能性训练
  • 循证医学
  • 心智健康
  • 传统养生
  • 登录
  • 注册
首页 循证医学
  • 家长注意了 这种呼吸道病毒专盯小宝宝
    天气转凉,各种病毒又开始轮番上阵,有一种病毒专挑小宝宝下手——呼吸道合胞病毒(Respiratory Syncytial Virus),简称 RSV。那么,什么是呼吸道合胞病毒?我们该如何有效预防呢?一起了解↓ 1 什么是RSV? RSV是一种常见的呼吸道病毒 ,是全球5岁以下儿童 急性下呼吸道感染的主要病原体之一。儿童在2岁前普遍感染过RSV ,感染后并不能获得永久性免疫
    循证医学 2025-11-11 0 阅读
    家长注意了 这种呼吸道病毒专盯小宝宝
  • 抑郁情绪不等于抑郁症,抗郁要避坑!
    原标题:生活观察|抑郁情绪不等于抑郁症,抗郁要避坑! “你今天看起来好像不开心?” “Emo了!” 近年来,年轻人常用“emo”来形容负面情绪来袭的状态。随着大众对心理健康的重视日益加强,越来越多人希望分清自己的“emo”到底是一时的情绪低谷,还是患上了抑郁症。 然而,一些不法机构或个人却盯上了这样的需求。国家卫生健康委在近日的发布会上提示,以心理健康科普名义违规导医导诊
    循证医学 2025-11-11 0 阅读
    抑郁情绪不等于抑郁症,抗郁要避坑!
  • 全麻联合种植机器人技术让重度咽反射患者重获“口福”
    11月6日,记者从空军军医大学口腔医院获悉:该院修复科团队使用种植机器人,成功为一位因严重咽反射而长期饱受缺牙困扰的患者完成全麻下上半口种植修复手术。经官方科技查新,该手术系全球首例。 该患者今年64岁,此前曾接受活动义齿修复,但强烈的咽反射导致其无法正常佩戴义齿,严重影响进食与生活质量。“咽反射通俗来说就是口腔内很敏感。比如,这位患者一戴义齿就干呕。”修复科副教授周炜介绍
    循证医学 2025-11-11 0 阅读
    全麻联合种植机器人技术让重度咽反射患者重获“口福”
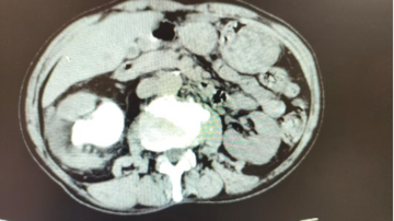
  • 西安医学院第一附属医院泌尿外科成功清除巨大铸型结石
    体检意外发现: 沉默的“石头危机” 李先生(化名)50余岁,在一次常规体检中被告知“右肾结石”。他没有腰痛、血尿,也无发热等不适,原以为只是“小问题”。在西安医学院第一附属医院泌尿外科门诊,副主任医师宋益挺详细了解病史、结合影像资料后,建议完善泌尿系CT检查。然而,检查结果却让人意外:右肾重度积水,肾盂系统内充满铸型结石,最大直径约6cm。 这是典型的肾铸型结石(Staghorn
    循证医学 2025-11-10 0 阅读
    西安医学院第一附属医院泌尿外科成功清除巨大铸型结石
  • 跨越省界 携手共赢:西安市中心医院医联体建设再谱新篇,合作落地甘肃三县
    初冬时节,佳音频传。在深化医药卫生体制改革的浪潮中,西安市中心医院医联体建设步伐坚定,再谱新篇。 11月初,西安市中心医院院长胡明军带领相关临床专家,先后奔赴甘肃省合水县、华池县、正宁县,在当地主要医疗机构进行专家查房、临床技术交流培训并进行医联体签约。 这一系列紧密的活动,是西安市中心医院积极响应国家关于推动优质医疗资源下沉和区域均衡布局号召的又一实质性举措,标志着医院在构建跨区域医疗协作网络
    循证医学 2025-11-10 0 阅读
    跨越省界 携手共赢:西安市中心医院医联体建设再谱新篇,合作落地甘肃三县
  • 西安市中医医院参加第六届西部国际采购展览会
    11月7日,第六届西部国际采购展览会在西安国际会展中心开幕。本届展会由陕西省贸促会主办,以“秦药链动丝路·中医赋能健康”为主题,旨在推动中医药产业深度融入国际国内市场。西安市中医医院作为全省中医药事业的重要力量受邀参会,全面展示医院特色优势,并与马来西亚中医药机构签署国际合作框架协议,成为展会首日亮点。 上午9时30分,展会开幕式正式启动。西安市中医医院国医大师杨震、党委书记刘永忠
    循证医学 2025-11-10 0 阅读
    西安市中医医院参加第六届西部国际采购展览会
  • 雪域高原的“破冰”之诊:陕西援藏专家成功接诊首例精神科患者
    在海拔超过4500米的雪域高原上,一道温暖的阳光穿透了凛冽的寒风,照进了阿里地区人民医院一间新设的诊室。在这里,一场由陕西省精神卫生中心·西安市精神卫生中心援藏专家尹俊博主导的阿里地区首例规范精神科患者接诊工作正在进行。 患者是一位16岁的藏族女孩卓玛,曾是一个活泼开朗、成绩优异的学生,但近半年来,家人发现她像变了一个人,情绪持续低落,不愿与任何人交流,整日将自己锁在房间
    循证医学 2025-11-09 0 阅读
    雪域高原的“破冰”之诊:陕西援藏专家成功接诊首例精神科患者
  • 87岁摔断股骨合并十多种疾病 医生:能治好!
    87岁的李奶奶(化名),只是不小心摔了一跤,没想到竟导致“右股骨颈骨折(Garden IV型)”,家人立即将她送往西安高新医院就诊。检查发现李奶奶不仅骨折移位明显,还伴有重度骨质疏松,更严重的是,她在20天前刚发生消化道出血,还长期罹患心房颤动、慢性心力衰竭(心功能Ⅲ级)、多种心脏瓣膜病、心包积液、重度贫血、肾功能不全、低蛋白血症以及精神行为异常等共十余种疾病。任何一个环节处理不当
    循证医学 2025-11-07 0 阅读
    87岁摔断股骨合并十多种疾病 医生:能治好!
  • 西安市红会医院医疗队到玉山中心卫生院开展对口帮扶及大型义诊活动
    为深入贯彻落实国家对口帮扶政策,将优质医疗资源送到群众“家门口”。11月3日,西安市红会医院第68批对口帮扶医疗队正式启程,奔赴蓝田县玉山镇中心卫生院,开展为期一年的驻点帮扶工作,并于抵达当日进行了大型义诊活动。带着爱心与责任,红会医院的帮扶使命已传承至第68批,步履不停。 本批医疗队阵容强大,由来自脊柱外科、神经内科、消化内科、医学影像等多个学科专家组成。在双方的交流座谈会上,围绕学科建设
    循证医学 2025-11-06 1 阅读
    西安市红会医院医疗队到玉山中心卫生院开展对口帮扶及大型义诊活动
  • 原来有人不适合跑步!医生:3个动作练好这块肌肉
    跑步,是一场身心兼修的有氧运动,它能唤醒活力、改善心肺,更是一种自律的象征。越来越多人发现:“坚持跑步后,人生真的不一样。” 但你有没有这样的困惑:为什么别人跑步几年依然健步如飞,而你跑没几次就膝盖酸痛?难道跑步也看“天赋”?其实,你可能只是缺了一块“减震肌”的保护。 一个动作自测:你到底适不适合跑步? 想要坚持跑步,但又不知道适不适合自己?医生教你一个动作自测。方法如下: 1.
    循证医学 2025-11-06 1 阅读
    原来有人不适合跑步!医生:3个动作练好这块肌肉
第一页 上一页 1 ... 4 5 6 ... 42 下一页 尾页
文章分类
  • 科学营养
  • 运动科学
  • 循证医学
  • 心智健康
  • 传统养生
热门文章
    • 西安医学院一附院多学科协作成功救治一例罕见MNS血型不合新生儿溶血病
      2阅读
    • 西安市第五医院急诊科医护团队走进爱丁宝幼儿园开展急救科普培训
      2阅读
    • 生命接力 守护心跳——西安市中心医院成功救治高陵区心脏骤停危重患者
      1阅读
    • 全民消防 生命至上——西安市卫生健康委员会2025年消防宣传月活动在西安市中心医院经开院区举行
      1阅读
    • 喜报!西安市长安区医院荣获全国血栓防治能力建设项目“优秀单位”称号!
      1阅读
    • 原来有人不适合跑步!医生:3个动作练好这块肌肉
      1阅读

©2025 unclepeel.com. All Rights Reserved